张女士(化名)做梦都没想到,自己一直流的清鼻涕,竟是颅内的“脑脊液”。今年7月,张女士发现起床的时候会流“清鼻涕”,以为是感冒,吃点感冒药就能慢慢痊愈了。没想到,这“鼻涕”流一个多月了,而且还伴随着发烧,体温一度升到38°C。
近日,张女士到南方医科大学第十附属医院(东莞市人民医院)神经外科就诊,经过相关检查,确诊为“自发性脑脊液鼻漏”。
常流“清鼻涕”竟是脑子“漏水”
据医生介绍,人类的颅内除了正常的脑组织、神经和血管以外,还有一种无色清亮的液体叫脑脊液,它的作用是维持颅压的相对稳定,保护脑部和脊髓,缓冲外伤所带来的冲击。脑脊液有“自我生成”的能力,大脑一天能产生约500毫升脑脊液,大部分脑脊液经脑穹隆面的蛛网膜颗粒吸收至上矢状窦,小部分经脊神经根间隙吸收以维持内部环境的动态平衡。
鼻腔与脑组织原本由蛛网膜、硬脑膜和颅底骨质分隔,当这些阻隔结构破裂或缺损时,脑脊液就会从“缺口”流入鼻腔或鼻窦内,再从鼻孔流出,这种情况称之为脑脊液鼻漏。按发病原因脑脊液鼻漏可分为自发性、创伤性、术后性,而自发性的较为罕见。
治疗脑脊液漏有内科治疗和手术治疗两种方法。外科治疗主要是修补漏口,分两种,一种是经鼻通过神经内镜下进行修补,另一种是开颅修补。
东莞市人民医院红楼院区神经肿瘤创伤外科主任刘小红表示,自发脑脊液漏很多时候无法在术前明确漏口所在,术中探查也经常遇到无法明确的隐匿性漏口,是手术的难点之一。
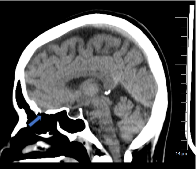
幸运的是,张女士在术前通过相关检查找到了漏口的位置。
刘小红指出,张女士的情况可能是因为先天性颅底骨质薄弱,又在外力作用下骨质或硬脑膜产生破裂而引起的脑脊液漏出,如果不及时处理,会诱发颅内感染、吸入性肺炎等严重并发症。他提醒大家,如果发现鼻腔、耳朵长期流出清亮水样液体或伴有血性液体,低头、用力时症状加重的,要及时就医。

蓝色箭头所在位置就是脑脊液漏出之处
出现这些症状警惕脑脊液鼻漏
脑脊液鼻漏通常由于外伤或先天因素,颅前窝底、颅中窝等部位的蛛网膜、硬脑膜和骨质缺损、破裂,导致脑脊液流入鼻腔。
鼻腔常间断或持续的流出清亮水样液体,低头可使流出液体增多,一般是单侧居多,双侧少见,伴随嗅觉减退或消失等症状。也有少数患者表现为反复发作的化脓性脑膜炎,主要表现为发热、头疼、伴有恶心呕吐等症状。
约70%的外伤性脑脊液鼻漏患者,通过抬高头位、防止便秘、卧床休息及引流等保守治疗方式能够痊愈,但愈合后可能出现上行性脑膜炎。
来源:羊城晚报•羊城派

请输入验证码